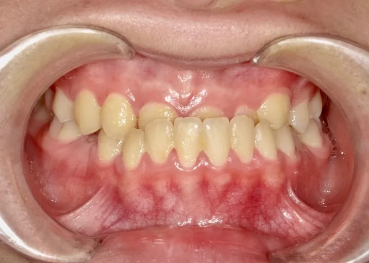
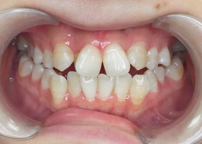
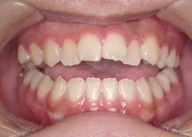
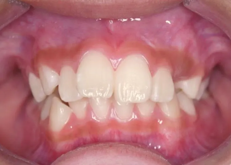
出っ歯 出っ歯、でこぼこを治療したい|9歳女性 すべて読む 開咬 開咬、前歯でごはんを食べたい|18歳女性 すべて読む 受け口 受け口|11歳男性 すべて読む 八重歯 前歯のでこぼこを治したい|24歳女性 すべて読む