出っ歯、でこぼこを治療したい|9歳女性
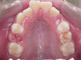
上顎

- Before

- After
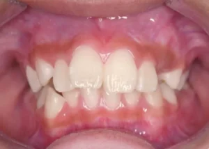
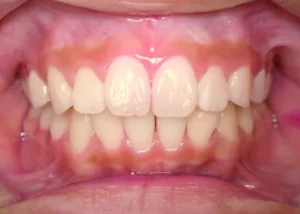
正面

- Before

- After
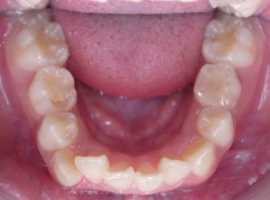
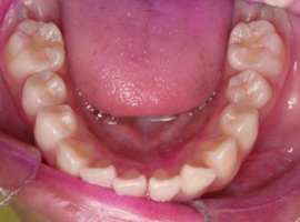
下顎

- Before

- After
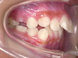
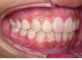
側面

- Before

- After
横顔

- Before

- After
- 主訴
- 出っ歯、でこぼこを治療したい
- 診断名
- 上顎前突(※一期治療のみ)
- 初診時年齢
- 9歳10ヶ月
- 治療期間・通院回数
- 10ヶ月・10回
- 抜歯部位
- なし
- 矯正装置
バイオネーター、トレーナー
- 総費用
- ¥400,000(税込)
- リスク・副作用
※ 治療上のリスクとして歯肉退縮、顎関節症、歯根吸収、カリエス、失活歯、根の露出、骨隆起、劣成長、歯周病があります。また、治療には個人差があります。あくまでご参考とお考え下さい。詳細はお気軽にお問い合わせください。
