受け口|11歳男性
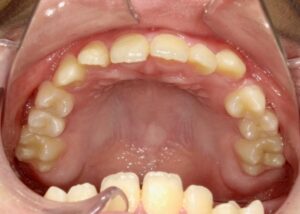
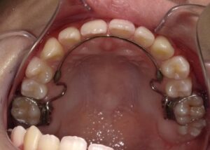
上顎

- Before

- After
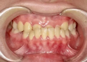
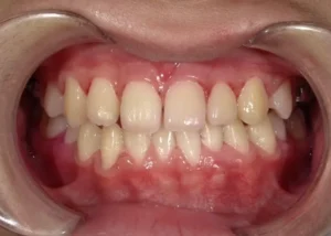
正面

- Before

- After
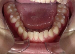
下顎

- Before

- After
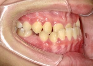
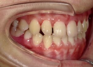
側面

- Before

- After
横顔

- Before

- After
- 主訴
- 受け口
- 診断名
- 反対咬合(※一期治療のみ)
- 初診時年齢
- 11歳8ヶ月
- 治療期間・通院回数
- 約9ヶ月・8回
- 抜歯部位
- なし
- 矯正装置
咬合挙上床
リンガルアーチ
上顎前方牽引装置- 総費用
- ¥400,000(税込)
- リスク・副作用
※ 治療上のリスクとして歯肉退縮、顎関節症、歯根吸収、カリエス、失活歯、根の露出、骨隆起、劣成長、歯周病があります。また、治療には個人差があります。あくまでご参考とお考え下さい。詳細はお気軽にお問い合わせください。

