前歯のでこぼこを治したい|24歳女性
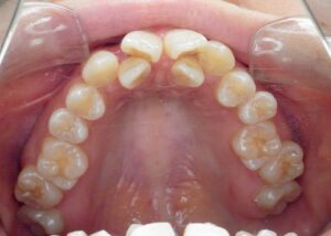
上顎

- Before

- After
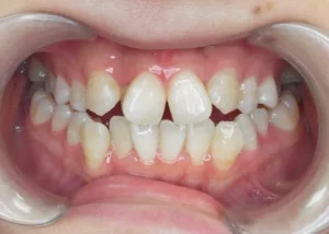
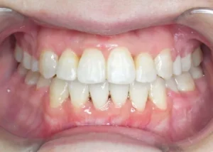
正面

- Before

- After
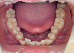
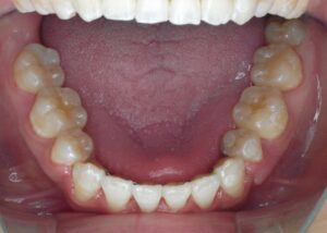
下顎

- Before

- After
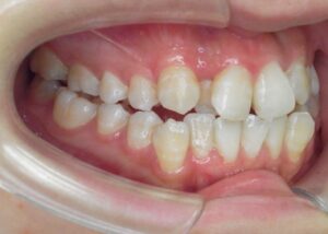
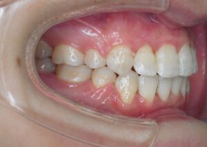
側面

- Before

- After
横顔

- Before

- After
- 主訴
- 前歯のでこぼこ、歯並びをきれいにしたい
- 診断名
- 叢生
- 初診時年齢
- 24歳9ヶ月
- 治療期間・通院回数
- 約2年8か月・32回
- 抜歯部位
- 合計4本(右上4番、右下4番、左上4番、左下4番)
- 矯正装置
マルチブラケット装置
- 総費用
- ¥810,000(税込)
- リスク・副作用
※ 治療上のリスクとして歯肉退縮、顎関節症、歯根吸収、カリエス、失活歯、根の露出、骨隆起、劣成長、歯周病があります。また、治療には個人差があります。あくまでご参考とお考え下さい。詳細はお気軽にお問い合わせください。
