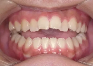
開咬、前歯でごはんを食べたい|18歳女性
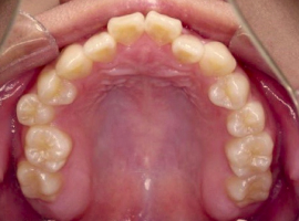
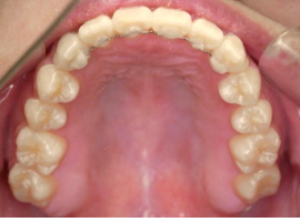
上顎

- Before

- After
正面

- Before

- After
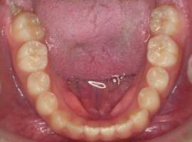
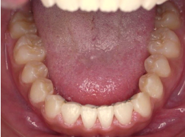
下顎

- Before

- After
側面

- Before

- After
横顔

- Before

- After
- 主訴
- 開咬、前歯でごはんを食べたい
- 診断名
- 開咬
- 初診時年齢
- 18歳3ヶ月
- 治療期間・通院回数
- 約1年3ヶ月・15回
- 抜歯部位
- 親知らずのみ抜歯
- 矯正装置
マルチブラケット装置(外科的手術なし)
- 総費用
- ¥810,000(税込)
- リスク・副作用
※ 治療上のリスクとして歯肉退縮、顎関節症、歯根吸収、カリエス、失活歯、根の露出、骨隆起、劣成長、歯周病があります。また、治療には個人差があります。あくまでご参考とお考え下さい。詳細はお気軽にお問い合わせください。

