大阪狭山市の
日本歯科専門医機構認定
矯正歯科専門医
当院の院長 中川 学は、公的機関である日本歯科専門医機構に認められた「一般社団法人 日本歯科専門医機構」より、『矯正歯科専門医』として認定されています。
矯正歯科専門医について
『矯正歯科』は「口腔外科」や「小児歯科」などの歯科医療の中の一つの『専門分野』です。
そのため『矯正歯科専門医』は歯科医師免許を取得後、大学病院などの矯正歯科で研修を5年以上受講、終了し、初めて「日本矯正歯科学会 認定医」を取得でき、さらに『日本歯科専門医機構認定 矯正専門医』取得にはさらに多くの実績が必要です。
その意味は『矯正歯科専門医』の行なう矯正治療は、
- 歯並びキレイ
(矯正しているので当たり前です)
- 噛み合わせが良い
- 口元がキレイ
(矯正前と矯正後と比べて)
の全てが達成できるように、質の高い矯正治療のご提供を目指しています。
言い換えれば、不正咬合、歯並びをきっちり治療させていただくという責任を患者様あるいはご両親様に買っていただいていると考えています。誠心誠意治療させていただきます。
CONCEPT
コンセプト
-
-
コミュニケーションを
大切に
当院では、矯正歯科専門医である院長とスタッフが患者様お一人おひとりと丁寧に対話を重ね、口腔内の状態やライフスタイルに合わせた歯列矯正治療をおこなっています。
専門性の高い診療品質を維持しながら、患者様に寄り添ったケアを提供するため、年間治療人数を制限しています。さらに治療後もフォローアップとアフターケアを重視し、美しい歯並びと健康を長期的にサポートします。
FEATURES
特徴
-
01
矯正歯科
専門医による治療
当院の院長は、日本歯科専門医機構から認定を受けた矯正歯科専門医です。
1987年に中川矯正歯科医院を開設し、以来長年にわたり臨床に携わってまいりました。
日本矯正歯科学会をはじめ、ヨーロッパ舌側矯正歯科学会など国内外の学会に所属し、英国エジンバラ大学矯正認定医を取得するなど、学会発表や論文発表を通じて治療技術の研鑽を積んでいます。
これらの知見と経験をもとに、患者様お一人おひとりの口腔内の状態やご希望に合わせた矯正プランをご提案します。
-
02
舌側矯正を
得意としている
当院では、歯の裏側に矯正装置をつける舌側矯正に力を入れています。
出っ歯、受け口などの歯並びのお悩みに寄り添い、「装置を目立たせたくない」という患者様のご希望を尊重します。
舌側矯正は、矯正中の見た目のストレスが少ないため、中高生~大人の患者様の多い治療方法です。
歯並びを整え、見た目を改善するだけでなく、噛み合わせまで考慮した、長期的に安定する矯正治療をおこないます。
-
03
矯正治療の
プロフェッショナルチーム
院長はもちろん、歯科衛生士を含む全スタッフが「矯正のプロフェッショナル」として、チーム一丸となって治療にあたっています。
矯正歯科の現場では、専門的かつ高度な技術が求められます。
歯科衛生士も矯正専門で、患者様お一人おひとりの異なる歯並びやお口の状態に合わせて、すべての処置をきめ細やかに行っています。
CASE
症例紹介
当院でおこなった矯正治療の症例をご紹介します。
さまざまな歯並びや噛み合わせの悩みに対し、
どのような治療をおこない、どのように改善したのかをご覧いただけます。
-
Before
-
After
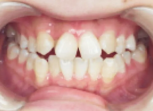
- 主訴
-
前歯のでこぼこ、歯並びをきれいにしたい
- 診断名
- 叢生
- 初診時年齢
- 24歳9ヶ月
- 治療期間•通院回数
- 約2年8ヶ月・32回
- 矯正装置
- マルチブラケット装置
- 抜歯部位
- なし
- 総費用
- 810,000円(税込)
- リスク・副作用
-
治療上のリスクとして歯肉退縮、顎関節症、歯根吸収、カリエス、失活歯、根の露出、骨隆起、劣成長、歯周病があります。
また、治療には個人差があります。
症例一覧
FLOW
治療の流れ

-
- 01.カウンセリング
- 02.検査
- 03.診断・治療計画の立案
- 04.ご契約
- 05.ブラッシング指導
- 06.矯正治療
- 07.保定・メンテナンス
治療の流れ
DOCTOR
院長紹介
-
-
中川矯正歯科医院
ティースビューティ矯正歯科
中川 学
略歴
- 1983
- 大阪歯科大学卒業
- 1987
- 中川矯正歯科医院開設
- 1990
- 日本矯正歯科学会 認定医
- 1995
- 博士(歯学、大阪歯科大学 歯科矯正学)
- 2000
- 日本成人矯正歯科学会 認定医
- 2001
- 英国エジンバラ大学矯正認定医
M Orth RCSEd 取得
(Membership in Orthodontic of The Royal College of Edinburgh)
- 2004
- ヨーロッパ舌側矯正歯科学会(ESLO)
アクティブメンバー
- 2005
- 世界舌側矯正歯科学会(WSLO)
アクティブメンバー
- 2006
- 日本成人矯正歯科学会 臨床指導医
(旧専門医)
- 2008
- 日本矯正歯科学会 臨床指導医
(旧専門医)
- 2012
- ヨーロッパ舌側矯正歯科学会 (ESLO)
ティチュラーメンバー
日本舌側矯正歯科学会 認定医
- 2024
- 日本歯科専門医機構 矯正歯科専門医取得
所属学会
- 国内 -
- 日本矯正歯科学会
- 近畿東海矯正歯科学会 会長
- 日本舌側矯正歯科学会
- 日本口蓋裂歯科学会
- 日本顎関節学会
- 日本顎変形症学会
- アレキサンダー研究会
- 近畿矯正歯科研究会
- 海外 -
- membership in Orthodontics of The Royal College of Surgeons of Edinburgh(MOrthRCSEd)
- Fellow "World Federation of Orthodontist"(世界矯正歯科医会)
- ヨーロッパ舌側矯正歯科学会
- WSLO(世界舌側矯正歯科学会)アクティブメンバー
ACCESS
アクセス
- 住所
- 〒589-0011
大阪府大阪狭山市半田1丁目595-10
- アクセス
- 南海高野線「金剛駅」西口より徒歩2分
- 駐車場
- 提携駐車場「松川繊維駐車場」
アクセス